Aumentan enfermedades venéreas
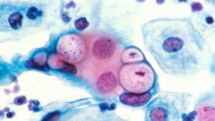
Los casos combinados de sífilis, gonorrea y clamidia, alcanzaron un máximo histórico en los Estados Unidos, según un informe de los Centros para el Control y la Prevención de Enfermedades.El informe mostró que hubo cerca de 2.5 millones de casos nuevos en el año 2018.“Todos son tratables y curables. El problema entra en juego cuando no recibe tratamiento lo suficientemente pronto”, dijo Richard May, Gerente de Servicios Clínicos en el Departamento de Salud del Condado de Pima. “Se pueden desarrollar complicaciones de salud que no sólo pueden afectar al individuo sino también, para una mujer, o al feto”.El informe clasificó a Arizona en los cinco Estados principales para la mayoría de los casos de sífilis primaria, secundaria y congénita.May dijo que el informe de los CDC refleja lo que están viendo a nivel de Condado. Las autoridades fomentan las prácticas sexuales seguras y las pruebas periódicas para mantenerse actualizado sobre su estado de salud actual.“El otro elemento en el que pienso es todo el estigma asociado con las ETS, en general”, dijo May. “Pero la realidad es que es una preocupación y a veces disuade a las personas para tomar medidas. Así que sólo queremos asegurarnos de alentarlos a hacerse la prueba y recibir tratamiento”.El Condado proporciona pruebas de ETS en dos clínicas del Departamento. La primera es la Clínica Theresa Lee, ubicada en 1493 W. Commerce Court. El segundo es la Clínica Norte, que se encuentra en 3550 N. First Ave.Las clínicas están abiertas de lunes a viernes de 8:00 am a 5:00 pm y aceptan visitas sin cita previa.
